
Klinika stomatologiczna Ortodesign to miejsce, gdzie każdy pacjent czuje się komfortowo i bezpiecznie. Nowoczesne wyposażenie gabinetów, doświadczony zespół lekarzy i najnowsze metody leczenia gwarantują skuteczną pomoc każdemu potrzebującemu. Nasze dotychczasowe osiągnięcia dają gwarancję satysfakcji i komfortu na długie lata.
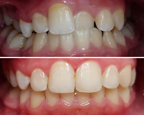
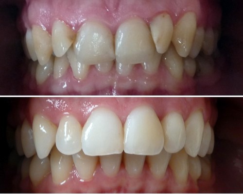
Subtelne leczenie - spektakularny efekt
Nowa klinika Ortodesign, otwarta w 2019 r. w Tarnobrzegu, prowadzi leczenie stomatologiczne i ortodontyczne pacjentów z całej Polski. Używamy technik Invisalign® i SWLF, które pozwalają skrócić czas całego leczenia. Nasi pacjenci są przyjmowani w komfortowych warunkach, bez stresów i bólu. Precyzyjne urządzenia, najnowsza aparatura i stałe szkolenia całego personelu gwarantują satysfakcję i zadwolenie każdego pacjenta.
Jesteśmy do waszej dyspozycji codziennie. Przyjmujemy w centrum miasta, w nowym perfekcyjnie zaprojektowanym gabinecie, który wyposażony jest w najnowsze urządzenia, które gwarantują pełną diagnozę, i leczenie każdego pacjenta w jednym miejscu.
Działamy zgodnie z najlepszymi praktykami medycznymi, dbamy o każdy szczegół leczenia, przestrzegamy procedur ochrony danych osobowych zapewniając w ten sposób bezpieczeństwo pacjentów na każdym etapie leczenia.
Obrazowanie 3D i technika Invisalign® tworzą unikalny zestaw, który pokazuje pacjentom cały przebieg leczenia i końcowe efekty, bez konieczności budowy gipsowych modeli i używania płaskich zdjęć rentgenowskich. Zaawansowana technika jest gwarancją satysfakcji.

Do osiągania spektakularnych efektów leczenia konieczne są trzy składniki - wiedza, nowoczesna aparatura z TOMOGRAFEM STOMATOLOGICZNYM na czele oraz indywidualne doświadczenie lekarza prowadzącego.
Diagnostyka
Wykorzystując najnowszą aparaturę, kompleksowo badamy i diagnozujemy wszystkie schorzenia w obrębie jamy ustnej.
Plan leczenia
Budujemy harmonogram wizyt tak, aby był najmniej kłopotliwy dla pacjenta, a jednocześnie gwarantował odpowiednie efekty leczenia.
Wizyty
Łatwość kontaktu i elastyczność w ustalaniu terminów kolejnych wizyt sprawia, że leczenie jest płynne i optymalne czasowo.
Opieka
Po zakończeniu leczenia stałe wizyty kontrolne i porady pozwalają na długotrwałe zachowanie uzyskanych efektów.

Kim jesteśmy?
O sukcesie kliniki i satysfakcji pacjentów decyduje siła zespołu. Liderami klinki Ortodesign są lekarze o wysokich kwalifikacjach, z wieloletnim doświadczeniem i unikalnymi umiejętnościami. To oni decydują o wyborze metod leczenia, sposobie ich zastosowania i końcowym efekcie tak, aby każdy pacjent czuł się usatysfakcjonowany.
Katarzyna
Klimek-Jaworska
Specjalista ortodonta
Urszula
Jadach
Higienistka stomatologiczna
Grzegorz
Klimek
lekarz stomatolog
Aneta
Nowakowska
lekarz dentysta
Piękny uśmiech i zdrowe zęby to przepustka do otwartości i radości z życia, możesz w ten sposób uwalniać swoje emocje i osobowość. Spektakularne efekty leczenia mogą odmienić twoje życie i poprawić jego jakość.
Invisalign® to najbardziej zaawansowany system przezroczystych nakładek.
Każdy pacjent Invisalign może przekonać się, jak będzie wyglądał jego uśmiech jeszcze przed rozpoczęciem leczenia. Służy do tego technologia ClinCheck®, która pozwala uzyskać cyfrową mapę całego przebiegu leczenia Invisalign.
Lekarz Invisalign opracowuje precyzyjny, spersonalizowany plan leczenia, z uwzględnieniem dokładnych przemieszczeń zębów oraz czasu potrzebnego na leczenie.

Jesteśmy dla Was
Staramy się, aby w jednym komfortowym miejscu można było przeprowadzić kompleksowe leczenie wszystkich problemów związanych z jamą ustną, zębami, zgryzem. Dostępne wyposażenie i oprogramowanie pozwala na stworzenie bardzo szerokiego wachlarza świadczonych usług, od najprostszych aż po te wymagające użycia tomografu komputerowego i modelowania 3D.
Leczymy wady zgryzu, wady szczękowo-twarzowe oraz korygujemy nieprawidłowości zębowe.
W leczeniu ortodontycznym nasza klinika używa szeregu technik, aparatów i metod, których odpowiedni dobór pozwala na szybkie i skuteczne leczenie aż do uzyskania spektakularnego efektu.
Chirurgia stomatologiczna zajmuje się leczeniem operacyjnym jamy ustnej i okolic przyległych.
Nasze gabinety zabiegowe pozwalają na przeprowadzanie wielu skomplikowanych operacji chirurgicznych, na odtwarzanie pierwotnych warunków zgryzowych po utracie zębów naturalnych lub ich masywnym uszkodzeniu. Zajmujemy się także rehabilitacją pacjentów po operacjach onkologicznych lub plastycznych.
Leczenie protetyczne polega na trwałej i kosmetycznej odbudowie lub odtworzeniu brakujących zębów.
Protetyka stomatologiczna to jedna z naszych specjalności. Posiadamy wieloletnie doświadczenie w tej dziedzinie i dzięki temu możemy oferować najnowocześniejsze rozwiązania protetyczne. Odtwarzanie ubytków pozwala na odzyskanie dawnego uśmiechu, dobrego samopoczucia i poprawę ogólnego zdrowia.
Właściwe i regularne stosowanie zabiegów higienizacyjnych to najistotniejsza metoda profilaktyki.
Higienizacja jamy ustnej zapobiega wielu problemom nie tylko zdrowotnym, ale i emocjonalnym, związanym z relacjami z innymi osobami. Unikanie próchnicy oraz chorób jamy ustnej pozwala na długo cieszyć się pięknym uśmiechem i bardzo dobrym ogólnym stanem zdrowia. Dla naszych pacjentów wykonujemy:


— STOMATOLOGIA I ORTODONCJA W NAJLEPSZYM WYDANIU —

Składniki zadowolenia pacjentów
Końcowy olśniewający efekt leczenia jest sumą wielu czynników związanych z posiadanym sprzętem, umiejętnością jego użycia, z wiedzą i doświadczeniem lekarza oraz jego stale podnoszonymi kwalifikacjami. Dopiero klinika z takim zespołem i wyposażeniem gwarantuje, że pacjenci mogą naprawdę odmienić swoje życie. Nie ma nic cenniejszego niż piękny uśmiech zadowolenia z leczenia.

Nasi pacjenci są szczęśliwsi
Prawidłowe wykorzystanie dostępnych środków technicznych, komputerowych wizualizacji 3D, tomografu obrazującego indywidualną budowę jamy ustnej to tylko warunki konieczne do efektywnego leczenia. Warunki wystarczające to umiejętności i talent lekarzy, ich zaangażowanie i umiejętność stawiania trafnych diagnoz. Takie połączenie w jednej klinice, w jednym miejscu to gwarancja zaspokojenia najbardziej wysublimowanych oczekiwań.
Badanie
Szerokie spektrum dostępnych urządzeń diagnostycznych to szybkie, dokładne badanie z dużą ilością danych, które pozwalają na ocenę stanu jamy ustnej każdego pacjenta.
Diagnoza
Zdobyte w badaniu dane lekarz przetwarza na informacje, które w połączeniu z jego dotychczasowym doświadczeniem prowadzą do prawidłowej diagnozy i efektywnego planu leczenia.
Metoda
Bez bólu i bez stresu – skutecznie i sprawnie stosujemy najnowsze technologie stomatologiczne, od początkowego ustawienia zębów do uzyskania pożądanego ustawienia po zakończeniu leczenia.
Leczenie
Odpowiednie procedury medyczne i dostępna technika pozwalają na realizację kompletnego planu leczenia, od początkowego ustawienia zębów do uzyskania pożądanego ustawienia po zakończeniu terapii.
Subtelne i trudno uchwytne czynniki decydują o końcowym efekcie leczenia. Warto postawić na zaufanie i stały kontakt z lekarzem, który zapewnia opiekę i rady nie tylko w czasie leczenia, ale przede wszystkim po jego zakończeniu.

garść faktów na potwierdzenie
Zaufaj naszej wiedzy i doświadczeniu tak, jak wielu innych.

wiemy i umiemy
Leczenie pacjentów nie byłoby możliwe i skuteczne bez stałego podnoszenia kwalifikacji, udziału w kursach, konferencjach i szkoleniach. Codzienna praca weryfikuje jakość zdobytej wiedzy i mobilizuje do dalszego kształcenia. Praca w zespole i umiejętność korzystania z doświadczenia innych także sprzyja rozwojowi umiejętności zawodowych. Jesteśmy dumni z efektów naszej pracy.


Napisz do nas
Tel.: +48 661 081 228
ul. Mickiewicza 34 c (I piętro)
39-400 TARNOBRZEG